

Ces affections sont fréquentes chez nos animaux et provoquent douleur, boiterie, difficultés pour marcher, pour sauter. Nos chirurgiens disposent d’examens et d’un plateau technique chirurgical complet pour traiter l’ensemble de ces affections.
Nous assurons :
- Les consultations spécialisées en orthopédie
- Les dépistages d’anomalie ostéo-articulaires congénitales ( dysplasies, anomalie axiales…)
- La prise en charge chirurgicales réparatrices ou correctrices des lésions ostéo-articulaires
- La gestion de suivi de troubles ostéo-articulaires ( médicale, physiothérapeutique, usage du PRP… )
Exemples d’affections orthopédiques régulièrement traitées :
- Traitement chirurgical des fractures simples et complexes
- Traitement chirurgical des entorses (rupture de ligament croisé, luxation de hanche, luxation de rotule, …)
- Prise en charge chirurgicale d’anomalie de conformation (dysplasies, anomalies axiales,… )


Prise en charge d’une Rupture du Ligament Croisé Antérieur du genou.
Qu’est-ce que c’est ?
Le ligament croisé crânial stabilise le tibia par rapport au fémur lors de l’appui du membre postérieur et prévient la rotation interne et l’hyperextension du membre.
Sa rupture intervient par fois suite à un trauma, mais est le plus souvent lié à un état dégénératif du ligament.
C’est la cause la plus fréquente de boiterie du membre postérieur chez le chien.
Elle touche toutes les races.
Quand y penser ?
C’est une des premières hypothèses de boiterie du membre postérieur chez le chien.
Celui-ci a tendance à reporter son poids sur le membre controlatéral. La boiterie peut aller jusqu’à une suppression d’appui et une fonte musculaire associée.
Quand on palpe le genou celui-ci est fréquemment gonflé, signe de synovite, donc de présence de liquide inflammatoire dans l’articulation du genou.
La mise en extension du membre est douloureuse.
Lorsqu’on manipule le genou, on constate une instabilité du tibia par rapport au fémur. Sur les chiens musclés il est parfois nécessaire de tranquilliser le chien pour entrainer une relaxation des muscles afin de faciliter la manipulation du genou.
Une radiographie est ensuite conseillée afin de visualiser l’articulation du genou et de juger de son inflammation et de son instabilité.
Quelles sont les solutions proposées ?
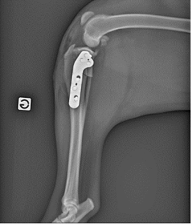
Le gold standard chez le chien passe par une intervention chirurgicale, appelée TPLO (nivellement du plateau tibial), qui modifie la conformation du genou afin de neutraliser la poussée tibiale crâniale. L’orientation des forces qui s’exercent sur le genou sont modifiées avec la chirurgie et permettent une stabilisation dynamique du genou. Cette intervention passe par une ostéotomie, stabilisée à l’aide d’une plaque et de vis.
Il existe des stabilisations statiques du genou, qui passent par des prothèses du ligament croisé crânial rompu, afin d’assurer la stabilité du genou. Elles restent réservées aux animaux de petit gabarit, avec un moins bon pronostic sur le long terme, mais financièrement moins onéreuses que la TPLO.
Si une suspicion d’atteinte des ménisques et/ou des autres ligaments concomitants est suspectée, une arthrotomie, c’est-à-dire une ouverte de l’articulation du genou avec examen des différentes structures, est parfois nécessaire.
Un suivi et une rééducation adaptée se font généralement sur 6 à 8 semaines.